近日,辽宁省肿瘤医院甲状腺头颈外科二病区和神经外科团队联合,成功完成一例鼻腔鼻窦恶性肿瘤、颅底交通性恶性肿瘤切除术。
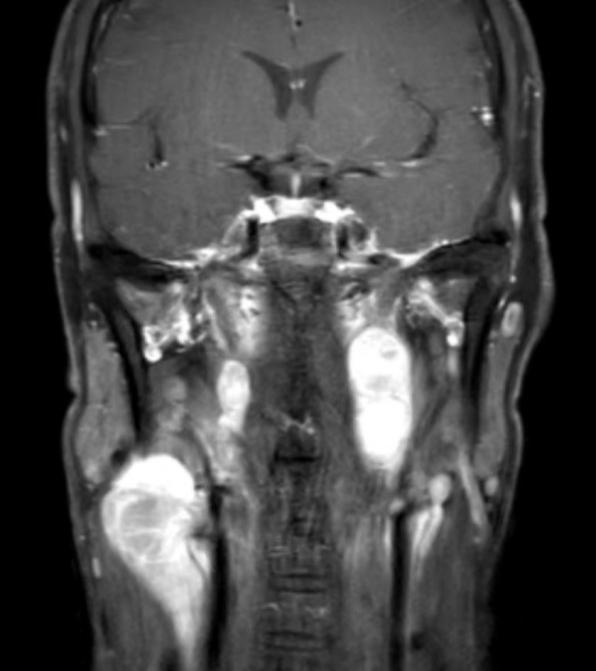
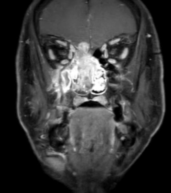
患者影像资料
患者赵某,男性,46岁,1年前开始发现右颈包块,指甲大小,未诊治。1年来包块逐渐增大增多,现大者约6*7cm,3个月前开始出现鼻塞,伴清水样鼻涕,于右鼻腔肿物取病理出血较多,病理回报:肿瘤性病变。局麻下行淋巴结活检,转移性恶性肿瘤,符合转移性高级别嗅神经母细胞瘤,磁共振见鼻腔鼻窦肿瘤似累及右侧额叶。甲状腺头颈外科二病区樊新龙医生接诊此患者,患者及家属手术愿望迫切。
患者入院后,甲状腺头颈外科二病区立即组织多学科会诊,专家组充分评估病情:患者鼻腔鼻窦恶性肿瘤,侵及前颅窝底硬膜内外,双颈淋巴结多发转移,上至咽旁,需请神经外科联合开颅手术,手术复杂、难度大,风险高。
标本
3月1日,由甲状腺头颈外科二病区主任赵月皎和医生樊新龙,神经外科医生姚冰及唐涛共同主刀,医生高鑫及杨骁作为助手,在麻醉师、手术室护士紧密配合下,对患者实施了此次手术。手术采取平卧位,平前颅窝底处开颅,显微镜下切除筛窦内部分肿瘤,将与硬脑膜粘连肿瘤、右额部硬膜囊内肿瘤完整切除。后经右鼻侧切开鼻腔,行鼻腔鼻窦恶性肿瘤扩大切除,完整切除右侧鼻腔、双侧筛窦、上颌窦内肿瘤,同时切除右上、中、下鼻甲,碘仿油纱填塞。行双颈淋巴结清扫,见转移淋巴结上达咽旁,大者5.5*2.5cm,后切开气管。患者术后病情平稳,恢复良好,家属非常满意。
手术中
鼻腔顶部的筛骨水平板、额窦后壁、筛窦顶壁以及蝶窦的上、后、侧壁均与颅相毗邻,一些源于鼻腔鼻窦疾病容易寻这些管道缝隙侵及颅内。鼻腔鼻窦恶性肿瘤侵及颅底手术风险较高,手术需要经验丰富的头颈外科和神经外科医生通力配合。此次甲状腺头颈外科及神经外科团队手术的成功完成,在此领域积累了重要经验,进一步提高了医院鼻颅交界肿瘤手术治疗水平。
关注!关注!关注!
辽宁省肿瘤医院疫情期间
门诊就诊攻略
辽宁省肿瘤医院互联网医院
“在线复诊”上线了
稿件、图片来源:头颈外科二病区 编辑:刘换 洪流 责编:郑阳
